私も心配性だから
納得いただけるまで
説明したいんです
調布市 マウスピース矯正
「調布市でのマウスピース矯正歯科なら
調布柴崎歯科クリニックにご相談ください」
東京都調布市菊野台1-20-39 メゾン内田1F
京王線 柴崎駅北口より徒歩2分
SPECIALIST
インビザラインの
専門ライセンスを持つ
インビザラインドクターが在籍
全体の歯並び矯正も、
部分的な矯正もご相談ください
-
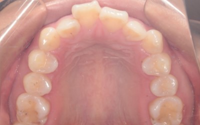
ITERO
当院では「iTero」スキャナーを導入し、精密な3Dスキャンで治療計画をサポート。
治療後の歯並びをシミュレーションできるため、安心して矯正を始められます。快適で効率的な治療を、最先端の技術で実現します。 -
安心につながる実績数
当院は、数多くのインビザライン治療の実績で、「プラチナプロバイダー」に認定された歯科医院です。
経験豊かなスタッフが、患者さま一人ひとりに最適な治療を提供。安心して治療を受けていただける環境を整えています。
CASE
インビザラインの症例解説
その他の症例
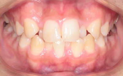
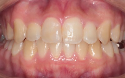
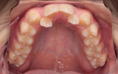
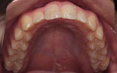
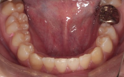
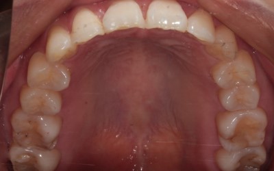
CASE01
叢生(そうせい:デコボコ)改善
-
Before
-
After
| 主訴 | 非抜歯矯正で叢生(凸凹)改善のケース |
|---|---|
| 治療方法 | インビザライン コンプリヘンシブによる治療 |
| 治療期間 | 約2年 |
| リスク | インビザライン治療は、矯正装置(アライナー)の適切な装着が不可欠です。 装着方法や装着時間が適切でない場合、計画通りに歯が移動しない可能性があります。 |
| 費用 | 935,000円(税込) |
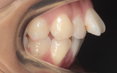
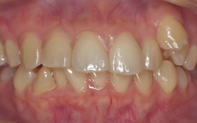
CASE02
上顎前突(出っ歯)の改善
-
Before
-
After
| 主訴 | 非抜歯矯正で上顎前突(出っ歯)改善のケース |
|---|---|
| 治療方法 | インビザライン コンプリヘンシブによる治療 |
| 治療期間 | 約1年10か月 |
| リスク | インビザライン治療は、矯正装置(アライナー)の適切な装着が不可欠です。 装着方法や装着時間が適切でない場合、計画通りに歯が移動しない可能性があります。 |
| 費用 | 935,000円(税込) |
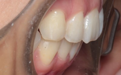
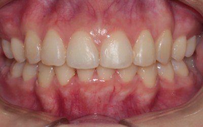
CASE03
上下顎前突(口ゴボ)改善(抜歯矯正)
-
Before
-
After
| 主訴 | 抜歯矯正で側貌(Eライン)改善のケース |
|---|---|
| 治療方法 | インビザライン コンプリヘンシブによる治療 |
| 治療期間 | 約1年8か月 |
| リスク | インビザライン治療は、矯正装置(アライナー)の適切な装着が不可欠です。 装着方法や装着時間が適切でない場合、計画通りに歯が移動しない可能性があります。 |
| 費用 | 935,000円(税込) |
FEATURES
当院のインビザラインの特徴
特徴その1
お口全体の歯並び矯正も、部分的な矯正も
インビザラインドクターにお任せ

-
当院では、インビザラインの専門ライセンスを持つ歯科医師がマウスピース矯正を行っています。
インビザラインは歯科医師なら誰でもできる治療ではありません。インビザラインにおける特別な知識と技術を学ぶ講習をきちんと受け、専門のライセンス(免許)を取得している歯科医師のもとで治療を受けることが望ましいです。また、当院にはインビザラインとインビザラインGO、それぞれのライセンスを持つ歯科医師が在籍しています。歯並び全体をキレイにするインビザライン、部分的かつ軽度の症例の場合にインビザラインGOを、といった形で、患者さまの症例やご希望に合うマウスピース矯正をご提案できます。
特徴その2
有料級の無料カウンセリング

-
調布柴崎歯科クリニックでは、インビザラインの専門ライセンスを持つ歯科医師がマウスピース矯正を行っています。
東郷千穂美歯科医師が「インビザラインドクターライセンス」を、さらに東郷亮輔歯科医師が「インビザラインGOドクターライセンス」を取得しています。また、東郷千穂美歯科医師は、これまでの実績により2021年から2024年までインビザライン社より『プラチナランク』の認定を毎年更新し続けています。
特徴その3
事前シミュレーションで歯並び・顔貌の変化がわかる

-
「iTero」でお口の3Dスキャンをしたり、歯の模型をお作りしたり、お口の中やお顔全体の写真をお撮りしたり、レントゲン撮影を行います。
特にレントゲン写真は、歯のみならず頭やお顔全体の骨格が分かる「セファロ(頭部X線規格写真)」や「歯科用CT(コンピュータ断層撮影)」を撮影。歯並びの悪さの原因は、骨格にある場合もあります。だからこそ、こうした精密検査は、適切な診断や安全な治療のためになくてはならないものだと私たちは考えています。
ちゃんとやらないと失敗するんです

-
矯正治療前の「無料相談」を銘打っている医院は少なくありません。
ごく一部の医院ではありますが、意味なく高額な治療に誘導しようとする例もあるため、残念なことに患者さまにとって良いことばかりではないのが実情です。「無料相談」はハードルが低く魅力的であるため、盲目的に惹かれてしまいやすく、事前に見分けがつきにくいといえます。無料相談の内容を事前に確認しておくことをお勧めします。
無料相談を行っております
矯正専門医院では困難なことも、
歯科医師・歯科衛生士ともに複数在籍の当院では可能です

-
矯正専門医院では対応が難しいむし歯治療や歯周病のケアなども、複数の歯科医師と歯科衛生士が在籍する当院では包括的に対応可能です。
一つの医院で幅広い治療が完結できるため、患者様にとって安心して治療を受けていただける環境を提供しています。『ワンストップ歯科サービス』は当院の最大の特徴です。
より良い矯正治療を行うためには、事前の治療(必要な場合のみ)とアフターフォローがとても重要です。当院では、矯正治療を行うことだけが目的ではなく、治療後も患者様に寄り添い続けることを大切にしています。そのため、万全な体制でサポートを行っています。
FEATURES OF MOUTHPIECE
マウスピース型矯正装置
(インビザライン)の特徴
-
01

痛みが少ない
薄いマウスピース素材のため、痛みや違和感がほとんどありません。
他の装置と比較すると、患者様のご負担の少ない矯正装置です。 -
02

取り外しが可
お食事や歯磨きの際にマウスピースを取り外すことができるため、治療中もお口の中を衛生的に保つことができます。
-
03

透明で目立たない
透明な装置のため、治療中も周囲の方に気付かれることはほとんどありません。
周りに気づかれずに矯正をしたい方におすすめです。 -
04

金属アレルギーでも安心
マウスピース型矯正装置(インビザライン)は、プラスチック製で金属を一切使用していないため、金属アレルギーの方にもご利用いただけます。
インビザラインとワイヤー矯正の違い
インビザライン![]() |
ワイヤー矯正![]() |
裏側ワイヤー矯正![]() |
|
| 見た目(審美性) | 非常に審美的 | 装置が目立つ | 歯の裏側に金属を装着するため目立ちにくい |
| 調整(来院)の頻度 | 2~3ヶ月に一度 | 毎月 | 毎月 |
| 通院中の診療時間 | 20~30分程度 | 60分前後 | 60分前後 |
| ブラッシングのしやすさ | 非常にしやすい | 非常にしづらい | しづらい |
| 虫歯や歯周病のリスク | ほとんどない | ブラッシングによっては高リスク | ブラッシングによっては高リスク |
| 応急対応の頻度 | ほとんどない | ワイヤーの伸びだし装置脱離など | ワイヤーの伸びだし装置脱離など |
| 話しやすさ | 慣れるまでやや話しにくい | 表側装置はほとんどない | かなり話しにくい |
| コンプライアンス | しっかりと装着する必要がある (1日22時間の着用) |
着脱がないので関係なし (顎間ゴムは重要) |
着脱がないので関係なし |
| 痛み | 軽度 | 痛みが強いことが多い | 痛みを感じやすい |
PRICE
費用
矯正を考えている方も、
始めやすい料金プラン!
月々6,700円から始める
マウスピース矯正治療
※インビザライン ライト、インビザライン GOでの治療の場合
自分のペースでお支払いできる
デンタルローンも可能です
| 全体矯正 インビザライン コンプリヘンシブ |
935,000円(税込・術前検査代金込み) ※月々払い/12,700円~ ※追加アライナー等2,000円程度の手数料が発生することがあります。 |
|---|
| 全体矯正 インビザライン モデレート |
715,000円(税込、術前検査代金込み) ※月々払い/9,700円~ ※追加アライナー等2,000円程度の手数料が発生することがあります。 ※追加が増えるほど手数料が増額されます。 |
|---|
| 全体矯正 インビザライン ライト |
495,000円(税込、術前検査代金込み) ※月々払い/6,700円~ ※追加アライナー等2,000円程度の手数料が発生することがあります。 ※追加が増えるほど手数料が増額されます。 |
|---|
| 部分矯正 インビザラインGO |
495,000円(税込、術前検査代金込み) ※月々払い/6,700円~ ※追加アライナー等2,000円程度の手数料が発生することがあります。 ※追加が増えるほど手数料が増額されます。 |
|---|
インビザラインGOが適応しないケースもあります
インビザラインGOは、単純に前歯だけを動かす矯正治療ではなく、限られた適応症例の患者さまでなければ受けることができません。まずは専門家による診察を受け、奥歯のかみ合わせが正常であり、なおかつ前歯の不正咬合が軽度である場合のみ適応となりますので、予めご了承ください。
なお、インビザラインGOの適用が難しいケースでは、インビザラインによる全体の矯正治療をご案内しています。
- インビザラインGOが適応となる患者さまは、全体の10%未満です。
- 「前歯だけを矯正したい」という方に対応した矯正方法ではありません。
- 奥歯のかみ合わせが正常で前歯だけを動かせばいい患者さまに適応した治療です。
医療費控除について
医療費控除とは、年間に支払った医療費の総額が一定額を超える場合に、所得税の一部を還付または減額できる制度です。医療費控除は患者さまの経済的負担を軽減するための制度であり、歯科治療も対象に含まれます。
インプラント治療や矯正歯科治療など、高額な治療や長期間にわたる治療を受ける場合には大きな助けとなる制度です。
Greeting
-


-
患者さん一人ひとりに合った
インビザラインをご提供します!調布柴崎歯科クリニックのホームページへ、ようこそお越しくださいました。
インビザラインを担当します東郷千穂美です。当院は、マウスピース矯正を得意としている歯科医院です。目立たないマウスピースを用いる矯正治療「インビザライン」と、前歯の歯並びのみを改善する最新のマウスピース矯正システム「インビザラインGO」、それぞれの専門ライセンスを持つ歯科医師が2名体制で治療を担当しています。
トータルで治療を行える歯科医師が在籍し、患者さまのお口の状態をきちんと確認・管理しながら治療計画をご提案できることは、当院の大きな特徴です。お口について気になることがある方は、ぜひ当院にご相談ください。皆様のお悩みに合わせて、より良い治療法やプランをご提案します。





















